Técnicas especiales
Es una intervención mixta endoscópica y radiológica, utilizada para estudiar y, principalmente tratar, las enfermedades de los conductos biliares y del páncreas.
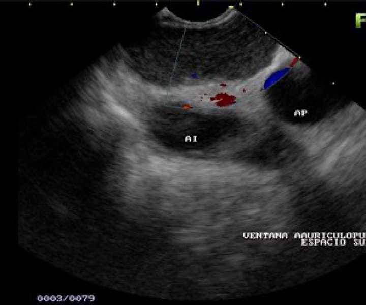
Ecoendoscopia o Ultrasonografía. USE
Es una técnica que combina la endoscopia con la ecografía para conseguir cortes ecográficos desde el interior del tubo digestivo en todos los planos del espacio y en todas las localizaciones donde llega el endoscopio.
Disección endoscópica submucosa. DES
Técnica que consiste en realizar inicialmente un corte circunferencial (o en ocasiones semicircunferencial) seguido de la disección de la capa submucosa, para conseguir resecar en bloque lesiones prácticamente sin límite de tamaño.
Consiste en la resección de porciones de mucosa para facilitar la extirpación completa y prevenir las complicaciones.
Divertículo de Zenker
Anteriormente el tratamiento de esta patología era únicamente quirúrgico, pero en la actualidad debido al avance de las técnicas se puede tratar mediante endoscopia digestiva.
Uso de prótesis en el tubo digestivo
La colocación de prótesis en el tubo digestivo por vía endoscópica en caso de obstrucción puede evitar la intervención quirúrgica.
El tratamiento hemostático endoscópico se ha demostrado que mejora los resultados clínicos en distintas situaciones de sangrado gastrointestinal.
